症例02【空隙歯列】








治療経過

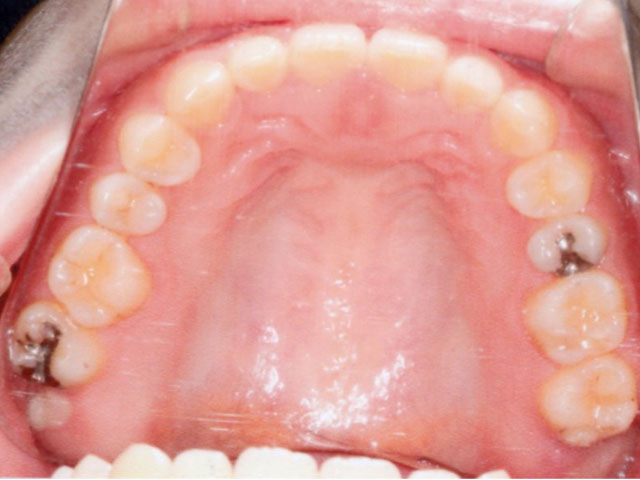
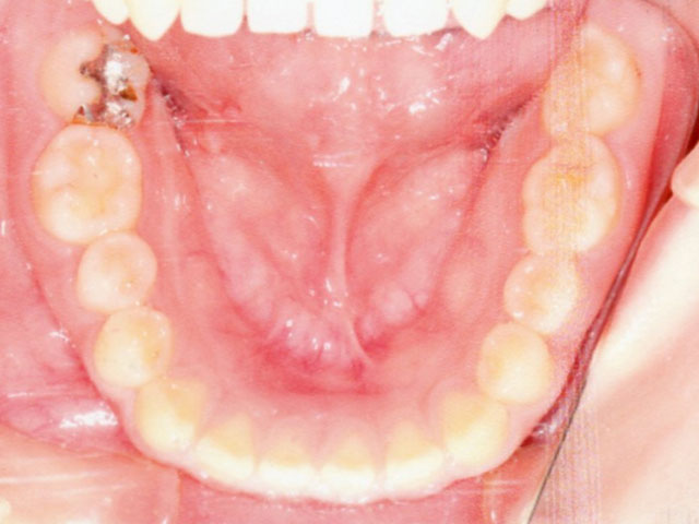
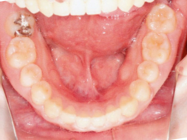
16歳9か月(男子)
上下の顎の成長・発育のバランスには問題はなく、骨格的な不調和は認められませんでした。
ただし、歯の大きさが平均よりもやや小さいことに加え、舌で前歯を押し出す癖(舌突出癖)がみられ、これが前歯の位置に影響している状態でした。
そのため、治療計画は非抜歯とし、スタンダードエッジワイズ法による矯正治療を選択。
同時に、舌突出癖を改善するためのトレーニングも併せて行いました。
治療期間は1年11か月で、その後は保定へ移行。
舌のトレーニングについては、治療後も継続して実施しています。
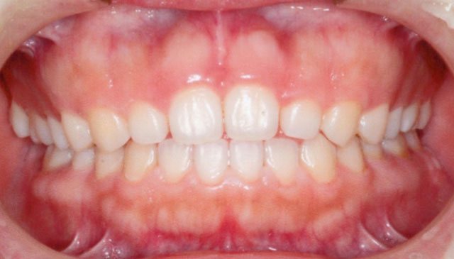
治療後の患者さんの感想
発音漏れがなくなった。 話が聞きやすくなったと言われ、うれしい
治療の詳細
- 主訴
- 前歯の隙間、発音しにくさ
- 診断名
- 空隙歯列
- 年齢
- 16歳9か月
- 治療に用いた主な装置
- マルチブラケット装置
- 抜歯部位
- 非抜歯
- 治療期間及び回数
- 1年1か月/13回(月1回程度の通院)
- 治療費概算
-
1,160,500円(税込)
- 検査診断 44,000円(税込)
- 装置(保定装置を含む) 1,045,000円(税込)
- 毎回の処置 5,500円(税込)×13回
- リスク・副作用
- 歯根吸収、変色、歯肉退縮、歯間鼓形空隙の開大(ブラックトライアングルの出現)、骨性癒着等