HOME >  当院の矯正治療 >  矯正治療の流れ

矯正治療の流れ

矯正治療が具体的にどのように進むか、所要時間はどのくらいかをご紹介します。

1

初診相談(約30分)

まずは話を聞くだけでも大丈夫です。詳しい検査や治療をするかどうかはその後に決めていただいて構いません。初診相談では患者さんのご希望を詳しく伺ってから、どのような治療が必要かをご説明いたします。初診相談は無料ですので、ご予約の上、お気軽にご相談ください。

また、セカンドオピニオンとして当院院長の意見を聞きたい、転医を考えているといったご相談もお受けしています。セカンドオピニオンのご相談は5,500円(30分)となります。
治療に関する資料をお持ちの場合は当日ご持参ください。資料がない場合は簡易検査を行うことがあります(5,500円)。詳しくはこちらをご覧ください。

検査(約30分~1時間)

患者さんのお口の中を詳しく診察し、レントゲン写真、口腔内写真、歯型など必要なデータをとります。治療の方向性を立てる上で、とても大切なステップです。

イメージ
(左)CT画像・(右)過剰埋伏歯のケース

イメージ
(左)手骨X線写真による上下顎骨の成長発育の評価
(右)レントゲン写真

診断・治療方針のご説明(約30分~1時間)

イメージ

検査結果をもとに矯正治療の方針をご説明します。
患者さんの症状に適した治療方法をご提案し、期間や費用などについてご説明します。疑問点などがありましたらお気軽にご質問ください。
ご納得いただいてからの治療開始が大切と考えています。

治療前の準備(必要な場合のみ)

矯正治療を始める前に、虫歯や歯周病の治療が必要な方は、治療を優先していただきます。
また、矯正治療の上で必要な場合は、抜歯を行います。
(虫歯治療や抜歯は当院では行っておりません。一般歯科医院をご紹介いたします。)

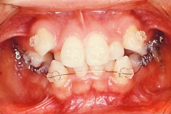
永久歯列での始まりで(2~3年、通院回数24~36回が目安)

イメージ

矯正装置を歯に装着し、歯の移動を開始します。
矯正装置は、金属ブラケットの他に、目立ちにくい白色の装置や、歯の裏側につける舌側矯正装置もあります。
通院は通常3~4週間に1回程度で、1回の治療時間は口腔ケアに重点を置きますので約60分です。
治療期間は約2~3年程度が目安となります。

保定(2年前後)

イメージ

歯の移動が完了し、矯正装置を外した後には「保定」を行います。
移動したばかりの歯並びは後戻りが起こりやすいので、後戻りを出にくくし、良好な歯並びがしっかりと安定するように保定装置をつけます。
保定期間は治療期間と同程度の期間が目安となります。
通院間隔も3~4か月に1回程度に減ります。
保定期間が終了した後も、必要に応じて定期観察などの通院をお受けしています。

【一般的な矯正治療】

  • 治療内容:矯正装置をつけて歯を少しずつ動かし、歯並びや口元を整える治療
  • 治療期間及び回数:2~3年程度(月に1回程度…24~36回)、保定期間は2年程度(3~4か月に1回の通院)
  • 治療費概算(自費):第1期治療 約55~65万円、第2期治療 約110~130万円
  • リスク・副作用:歯根吸収、変色、歯肉退縮、歯間鼓形空隙の開大(ブラックトライアングルの出現)、骨性癒着等