症例01【上顎前突】










治療経過

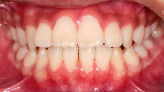
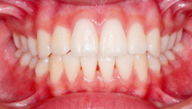
14歳2カ月(男子)の患者さん。
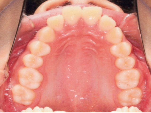
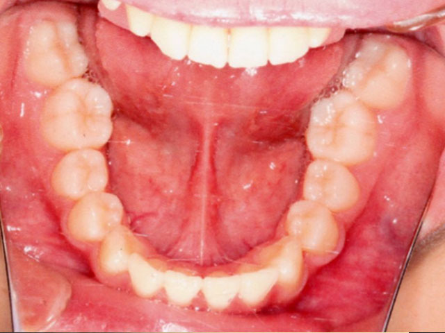
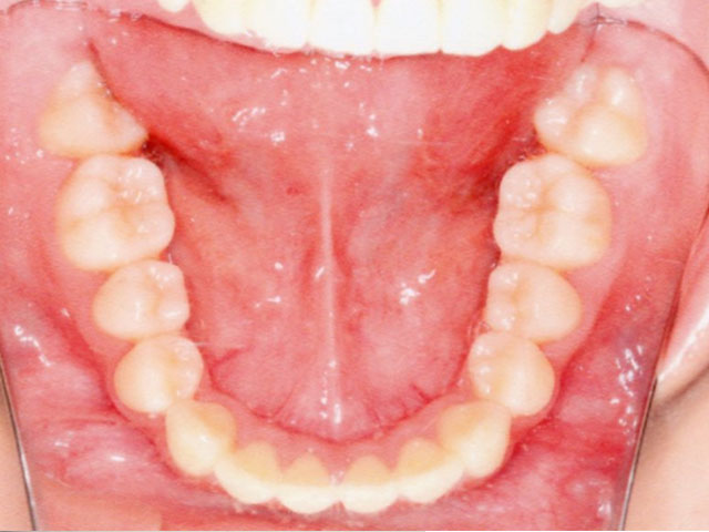
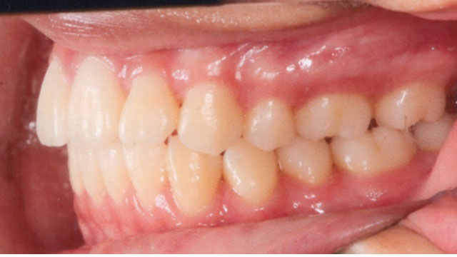
下顎の歯並びは大きなデコボコ(叢生)が少ない一方で、上顎の前歯が前方へ大きく突出している状態でした。
できるだけ抜歯の本数を減らす方針で治療計画を立て、スタンダードエッジワイズ法を用いて矯正治療を進めました。
上顎の左右第一小臼歯の2本のみを抜歯し、下顎は抜歯せずに治療を行う「片顎抜歯矯正」を選択しています。
治療期間は2年3か月。その後は保定へ移行しました。
なお、治療中は受験前の忙しい時期には無理に通院せず、患者さまの状況に合わせて柔軟にスケジュール調整を行いました。
治療後の患者さんの感想
口が閉じやすく話しやすい。写真撮影が楽しい
治療の詳細
- 主訴
- 口元の前突、口が閉じにくい
- 診断名
- 上顎前突
- 年齢
- 14歳2か月
- 治療に用いた主な装置
- マルチブラケット装置
- 抜歯部位
- 上顎:左右第一小臼歯2本抜歯 / 下顎:非抜歯
- 治療期間及び回数
- 2年3か月/27回(月1回程度の通院)
- 治療費概算
-
1,237,500円(税込)
- 検査診断 44,000円(税込)
- 装置(保定装置を含む) 1,045,000円(税込)
- 毎回の処置 5,500円(税込)×27回
- リスク・副作用
- 歯根吸収、変色、歯肉退縮、歯間鼓形空隙の開大(ブラックトライアングルの出現)、骨性癒着等